En innovativ måte å lindre dentinal overfølsomhet
en ny teknologi kan revolusjonere måten overfølsomhet styres
Av Sarah M. Burt, RDH, MDH, Og Shelly L. Campbell, RDH, MPH
QuickQuiz
hvilket pasientscenario er mest bekymret?
(A) en mann med en stadig verkende og betydelig forfalt molar, eller
(B) en kvinne med noen bilateral buccal premolar resesjon som har skyting smerte når hun slurker iste?
de fleste klinikere vil velge riktig (A), siden tannkaries trenger rask behandling for å redusere smerte og unngå mer omfattende behandling. Pasienter vil trolig være enige, og uten tvil, når det gjelder smerte av en karies – eller perio-indusert bankende tannpine, selv de som har en lang tradisjon for å unngå tannlegen, kan løpe til en tannlege, desperat etter lettelse.
mens mindre kritisk, valg (B) – resesjon med forbigående smerte ved kald stimulus-kan ha en betydelig innvirkning på pasientens oral helse og livskvalitet. Når resesjon utsetter dentin, noe som fører til smerte og ubehag kjent som dentinal overfølsomhet, vil noen pasienter forsinke eller helt unngå profesjonell omsorg, bekymret for at undersøkelsen eller behandlingsprosedyrene vil være for ubehagelige. Minner om elendighet fra rush av sprøyte luft, iskaldt vann, og zapping opplevelser fra en explorer tips eller scaler bringe angst. Frykten for den skarpe smerten som fremkalles gjennom grunnleggende evalueringsteknikker, kan være nok til å føre til at disse pasientene ikke bare avstår fra et besøk for overfølsomheten, men også hopper over viktige rutinemessige undersøkelser og profylakser som vil avdekke andre forhold som krever oppmerksomhet. Tidlige, behandlingsbare problemer blir ignorert, noe som fører til større, dyrere og invasive reparasjoner. Likevel er veien til vellykket behandling av dentinal overfølsomhet ikke alltid klar, noe som ofte fører til frustrasjon hos pasienter som ønsker rask lindring, og tannklinikere som ønsker å tilby praktisk, men effektiv behandling.
er dette et mindre problem som påvirker et lite antall pasienter i en gitt praksis? Overraskende er svaret nei. Ulike undersøkelser fra hele verden har anslått at så mange som 30% til 57% av de voksne som ble evaluert, hadde en livstidsforekomst av dentinal overfølsomhet, med kvinner noe mer sannsynlig å bli påvirket.1-3 pasienter med periodontal sykdom har den høyeste forekomsten.4,5
Forskning som måler effekten av oral helse på ens livskvalitet har vist at dentinal hypersensitivitetslidere vurderer livskvaliteten lavere.6,7 Dagliglivsaktiviteter tatt for gitt av andre uten overfølsomhet kan bli svekket-gleden av å spise mat som iskrem, evnen til å pusse tennene grundig, ta et dypt pust og til og med sosial funksjon kan alle bli negativt påvirket når dette frustrerende problemet blir ubehandlet.
hva er dentinal overfølsomhet?
pasientene dine vil sannsynligvis si: «jeg har følsomme tenner.»Dentinal overfølsomhet betyr en hyper eller overdrevet respons på stimuli som normalt ikke vil gi ubehag, og det kan ikke tilskrives en annen tilstand som en sprukket tann.8 for pasienter betyr dette at det er områder, oftest ansiktshalsflatene på hjørnetenner og premolarer, hvor plutselige, skarpe blinker av smerte blir provosert av eksponeringer som faller inn i noen få brede kategorier. Taktil følsomhet betyr smerte som følge av mekanisk kontakt med et objekt, for eksempel tannbørsting eller skraping med en negl. Termisk følsomhet oppstår vanligvis når en kald (eller noen ganger varm) mat, drikke eller luftkilde treffer det berørte området. Noen lider har også kjemiske eller osmotiske utløsere som utløser ubehagelige opplevelser, som karbonholdige drikker eller sukker.
uansett pasientens kilder til smertegenerering, kommer rotårsaken til dentinal overfølsomhet fra eksponerte dentinalrør. Faktorer som fører til eksponert dentin inkluderer periodontal sykdom, dental erosjon, eller feil eller altfor aggressiv munnhygiene praksis som tannbørsting.9 dentinal overfølsomhet lider har vist seg å ha et større antall, og bredere åpne tubuli i dentin.10 Humane dentinalrør er så små som 2,42 mikron i diameter, og pakket så tett som 15 385 per kvadrat millimeter i overfladisk dentin, slik at selv et svært lite område av dentindenudasjon kan utsette en stor mengde åpne tubuli.11 et flertall av forskere mener taktile, termiske eller kjemiske / osmotiske utløsere stimulerer den raske bevegelsen av væske i de eksponerte tubulene, noe som excites nerve reseptorer og resulterer i den karakteristiske skarpe, skyting eller stikkende smertefølelsen av dentinal overfølsomhet.12

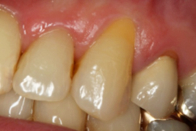
en representativ presentasjon av eksponert dentin.
de kan ikke innse det, men pasienter med dentinal overfølsomhet trenger ikke å trekke seg til å leve med problemet. Den vanligste førstelinjebehandlingen for å redusere smerte er over-the-counter kaliumnitrat tannpasta, som tar sikte på å desensibilisere tennene ved å redusere nervespenning.13-15 det er imidlertid begrensninger for denne tilnærmingen, inkludert langsom oppstart av lettelse, behovet for regelmessig daglig bruk for å opprettholde lindring, og mangelen på målrettet levering til følsomhetsstedet. Desensitizing behandlinger kan også brukes profesjonelt under et kontor besøk, og alternativene inkluderer harpiks eller høy konsentrasjon fluor lakk med mål om fysisk blokkering eller «okkludering» de åpne dentinal tubuli. Pasienter kan også velge invasive prosedyrer som dental restaureringer, lasere, eller gingival pode. Det som ikke har vært tilgjengelig for pasienter over-the-counter til nylig, er et desensibiliserende produkt som kombinerer brukervennlighet, klar og rimelig tilgang og rask, klar ytelse mens du opptrer på de nøyaktige stedene av smerte.
hva er nytt i dentinal hypersensitivitetshåndtering?
et nylig og spennende fremskritt innen dentinal hypersensitivitetshåndtering bruker et sted-målrettet leveringsbil for å gi pasienter et praktisk, men kraftig valg for å stoppe smerten av overfølsom dentin. Crest Sensi-Stop Strips (Procter & Gamble, Cincinnati, OH) Er en svært innovativ, patentert stripteknologi lagdelt med en oksalatholdig gel, vist å gi umiddelbar lindring av overfølsomhetssmerter etter engangsbruk. Disse unike, ikke-invasive desensibiliserende stripene gir pasientene en revolusjonerende måte å spesialfokusere på deres problemområder. Pasienter vil også sannsynligvis sette pris på å kunne kjøpe Crest Sensi-Stop Strips på deres favoritt helse og skjønnhet uttak og bruke dem i komforten av deres hjem, eller hvor følsomhet smerte kan streike.
Crest Sensi-Stop Strips er det første produktet som kombinerer innovasjonen av strip – teknologi – tynne og fleksible strips som samsvarer med og holder seg til gingival og tannoverflaten-med en oksalatholdig gel, klinisk bevist å stoppe smerten av dentinal overfølsomhet.16 Som å treffe et mål med en pil, Påføres Crest Sensi-Stop Strips på den nøyaktige plasseringen av eksponert dentinal smerte for maksimal effektivitet, og okkluderer dentinalrørene med oksalatkrystaller for å stoppe ubehag. Forskning viser at en stripe påført i 10 minutter gir umiddelbar lindring som varer i opptil en måned.16

Crest® Sensi-Stop Strips™
Sentralt i den hurtigvirkende effekten Av Crest Sensi-Stop Strips er nøkkelingrediensen oksalat, som holdes i konstant direkte kontakt med pekt hypersensitive området under 10-minutters behandling. Oksalat er inkorporert i dentinal hypersensitivitetsbehandlinger17 på grunn av oksalatkrystallenes kjente evne til å gi okklusjon av åpne dentinalrør igjen eksponert ved tap av emalje eller sement.18 denne oksalatbaserte fysiske blokkeringen slår av tubulevæskestrømmen, som igjen kutter av nervestimuleringen som er ved roten til den skarpe smerten. Ved hjelp av denne viktige ingrediensen i strip delivery system gir en unik følsomhet behandling som gir umiddelbar og holdbar lettelse.
Tenk deg dette scenariet: Mens du er ute på et ærend, går Du inn I Mrs. Jones, din på-igjen, av-igjen pasient på fem år som har forverret gingivitt. (Husk Pasient B fra åpningsquizen?) Hun innrømmer sheepishly at hun vet at hun er for sent for eksamen og profylakse, men hun kryper ved tanken på dine scalers og kaldt vann på hennes nedre venstre premolarer. Hva om du kunne tilby en løsning for å lette hennes bekymringer, en som kunne proaktivt og noninvasively målrette hennes ubehag med enkel plassering av en stripe, på bare 10 minutter?
Crest Sensi-Stop Strips er en potensiell praksisbygger som trekker inn både etablerte og nye pasienter med dentinal hypersensitivitet på jakt etter smertelindring eller et middel til å gjøre kontorpleie mer komfortabel og mindre stressende. Noen måter å bruke Sensi-Stop Strips i office praksis kan omfatte:

• Pre-prosedyre søknad – hjemme. Pasienter som allerede har kjøpt Crest Sensi-Stop Strips kan instrueres før deres avtaler å plassere strips i henhold til pakningsetikett retninger på alle steder av identifisert dentinal overfølsomhet før de kommer inn for en profylakse eller annen prosedyre der anestetisk bruk ikke er planlagt.
Det Er enkelt og enkelt Å Lære Å bruke Crest Sensi-Stop Strips for å behandle dentinal overfølsomhet. Designet for ansiktsflater, hvor hoveddelen av overfølsomheten oppstår, kan En Crest Sensi-Stop-Stripe påføres ethvert følsomt ansiktssted i den fremre eller bakre tannkjøttet hver dag. Hvis det er mer enn ett overfølsomt område (ofte tilfelle), kan pasienten bruke opptil seks Sensi-Stop Strips hver dag for å dekke flere smertefulle steder. Sensi-Stop Strips påføres halvparten på gingiva og halvparten på den berørte tannoverflaten. På så få som 10 minutter vil pasienten oppleve mye velkommen smertelindring. Ytterligere striper på samme sted (en stripe per dag) kan gi enda mer lettelse til de fleste. Enkel bruk Av Crest Sensi-Stop Strips vil sannsynligvis fremme pasientoverholdelse, noe som kan føre til andre fordeler som forbedret munnhygiene i de berørte områdene. Som en ekstra bonus Bør Sensi-Stop-brukere finne fremtidige tannlegeavtaler mye mer tolerable, noe som muligens fører til mindre stress, ikke bare for pasienten, men også for klinikere som strever for å fremme en komfortabel opplevelse samtidig som de gir grundig og effektiv omsorg.
Ustyrt dentinal overfølsomhet er unektelig nedslående for pasienter som er lei av å bare «håndtere det.»Overfølsomhetslidere trenger behandlingsmuligheter, men vil vanligvis favorisere løsninger som er enkle å komme med, ikke vanskelig å bruke, ikke smertefulle, rotete eller dårlige smaker, og ikke sakte å handle eller bare marginalt effektive. Crest Sensi-Stop Strips gjør karakteren på alle punkter, og gir disse pasientene en måte å lindre overfølsomheten på. Rimelig og allment tilgjengelig, Sensi-Stop Strips tilbyr enkel, smertefri påføring, korte behandlingstider og raske smertereduksjonsresultater med en stripe på så lite som 10 minutter i opptil en måned, noe som gjør dem til en vinn-vinn for både pasienter og deres orale helsepersonell. RDH
Sarah M. Burt, RDH, MDH, har praktisert tannhygiene i over 10 år og administrerer for tiden en flerlokasjons dental praksis i Nærheten Av Twin Cities. Hun gjør konsulentarbeid For Procter & Gamble.
Shelly L. Campbell, RDH, MPH, Tenerife Research Associates, har vært involvert i det kliniske forskningsfeltet for oral helse i 25 år. Hun skriver fra sitt hjem i Nærheten Av Kansas City, og gjør periodisk medisinsk skriving For Procter & Gamble.
1. Ye W, Feng XP, Li R. utbredelsen av dentin overfølsomhet hos Kinesiske voksne. J Muntlig Rehabil 2012;39(3):182-187.
2. Irwin CR, McCusker P. Prevalens av dentin hypersensitivitet i en generell tannpopulasjon. J Dent Assoc 1997; 43 (1): 7-9.
3. Addy m. dentin hypersensitivitet: definisjon, prevalensfordeling og etiologi. I: Addy M, Embery G, Edgar WM, Orchardson R, eds. Tannslitasje og følsomhet: Kliniske fremskritt innen restorativ tannbehandling. London: Martin Dunitz; 2000:239-242.
4. Chabanski MB, Gillam DG, Bulman JS, Newman HN. Klinisk evaluering av cervikal dentinsensitivitet hos en pasientpopulasjon henvist til en spesialist periodontologisk avdeling: en pilotstudie. J Muntlig Rehabi 1997;24 (9): 666-672.
5. von Troil B, Needleman I, Sanz M. en systematisk oversikt over forekomsten av rotsensitivitet etter periodontal terapi. J Clin Periodontol 2002;29 (suppl) 3: 173-177.
6. Bekes K, John MT, Schaller HG, Hirsch C. Oral helse-relatert livskvalitet hos pasienter som søker omsorg for dentin overfølsomhet. J Muntlig Rehabil 2009;36(1):45-51.
7. Bekes K, Hirsch C. hva er kjent om påvirkning av dentin overfølsomhet på oral helse-relaterte kvalifisere for livet? Clin Muntlig Innsendt 2013; 17 (Suppl 1): S45-51.
8. Orchardson R, Collins WJ. Kliniske egenskaper av overfølsomme tenner. Br Dent J 1987; 162: 253-256.
9. Walters PA. Dentinal overfølsomhet: en gjennomgang. J Contemp Dent Pract 2005;2: 107-117.
10. Addy M, Adams D. dentin hypersensitivitet: En studie av patency av dentinal tubuli i sensitiv og ikke-sensitiv cervical dentin. J Clin Periodontol 1987;14:280-284.
11. J. K. M., J. M. M., J. M. M., J. M. M., J. M. M., J. M. M., J. M. M. Sammenlignende studie av rørformet diameter og mengde for menneske og bovint dentin på forskjellige dybder. Braz Dent J 2009; 20: 279-283.
12. Bräströ M. en hydrodynamisk mekanisme ved overføring av smerteproduserende stimuli gjennom dentin. I: Anderson DJ, red. Sensoriske mekanismer i dentin: Proceedings of a symposium, London, 24. September 1962. Oxford, England: Pergamon; 1963: 73-79.
13. Silverman G. følsomheten redusere effekten av børsting med en kalium nitrat-natrium monofluorophosphate tannpuss. Compend Contin Educ Dent 1985; 6 (2): z131-3.
14. T, T, T, T, Et al. Klinisk evaluering av en kaliumnitrat tannpleie for behandling av dentinal overfølsomhet. J Clin Peridontol 1994; 21 (3): 217-221.
15. Poulsen S, Errboe M, Hovgaard O, Et al. Kaliumnitrat tannkrem for dentin overfølsomhet. (Anmeldelse). The Cochrane Collaboration 2004, Utgave 4, Wiley Publisher. 1-11.
16. Data på fil, Procter & Gamble.
17. Mantzourani M, Sharma D. dentin følsomhet: fortid, nåtid og fremtid. J Dent 2013 41 Tillegg 4: S3017.
18. Pashley DH. Dentin permeabilitet, dentin følsomhet og behandling gjennom tubule okklusjon. J Endod 1986;12: 465-474.